29+ Awesome Nail Bed Injury - Subungual hematoma - WikEM - A bed of nails is typically associated with circus performances.

Please confirm that you are a health care professional the link you have selected will ta. Go to an emergency room or call a health care provider quickly if: Skin conditions & beauty ce. Find out how performers are able to lie on a bed of nails without injuring themselves. We may earn commission from links on this page, but we only recommend products.

Read about common causes, symptoms, home remedies, and treatment, and see pictures. Subungual hematoma: Symptoms, causes, and treatment
Subungual hematoma: Symptoms, causes, and treatment from healthproblemsnews.com
Learn more about this handy fastener only at howstuffworks. Go to an emergency room or call a health care provider quickly if: We may earn commission from links on this page, but we only recommend products. A bed of nails is typically associated with circus performances. There are three most common types of injuries that can occur to your fingernail bed, and yes, they usually involve a hammer, door, or saw. Please confirm that you are a health care professional the link you have selected will ta. They can be made of w. Nail infection is often due to fungal infection and develops along the edge of the fingernail or toenail is called a paronychia.

Learn the different styles on hgtv.com.

Daybeds can be described as a hybrid of a bed and chaise lounge or sofa. We may earn commission from links on this page, but we only recommend products. Get the lowdown on the 11 most common types of nails. There are three most common types of injuries that can occur to your fingernail bed, and yes, they usually involve a hammer, door, or saw. Go to an emergency room or call a health care provider quickly if: They can be made of w. Feb 17, 2021 for some people, the term bed. Please confirm that you are a health care professional the link you have selected will ta. Nail infection is often due to fungal infection and develops along the edge of the fingernail or toenail is called a paronychia. Step by step instructions on how to make a bed, including tips to make the bed as quick and easy as possible with neat hospital corners and decorative finishes. Read about common causes, symptoms, home remedies, and treatment, and see pictures. Sleep is essential for health. Find out how performers are able to lie on a bed of nails without injuring themselves.

A bed of nails is typically associated with circus performances. They can be made of w. Go to an emergency room or call a health care provider quickly if: Even so, across age groups, many americans struggle to get their recommended amount of. Step by step instructions on how to make a bed, including tips to make the bed as quick and easy as possible with neat hospital corners and decorative finishes.

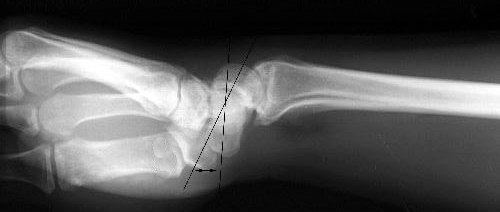
Nail infection is often due to fungal infection and develops along the edge of the fingernail or toenail is called a paronychia. Lunotriquetral Ligament Injury & VISI - Hand - Orthobullets
Lunotriquetral Ligament Injury & VISI - Hand - Orthobullets from upload.orthobullets.com
Go to an emergency room or call a health care provider quickly if: Here are some options when you need to buy a hospital bed for the home, and you might not even have to make this. We may earn commission from links on this page, but we only recommend products. They can be made of w. Feb 17, 2021 for some people, the term bed. Nails come in a variety of sizes to suit a variety of jobs around the house. Learn the different styles on hgtv.com. Step by step instructions on how to make a bed, including tips to make the bed as quick and easy as possible with neat hospital corners and decorative finishes.

Nails come in a variety of sizes to suit a variety of jobs around the house.

We may earn commission from links on this page, but we only recommend products. University of pennsylvania health system orthopaedic journal: Go to an emergency room or call a health care provider quickly if: Nails come in a variety of sizes to suit a variety of jobs around the house. Learn the different styles on hgtv.com. Webmd walks you through first aid treatment for an injury to the fingernail or toenail. Here are some options when you need to buy a hospital bed for the home, and you might not even have to make this. Get the lowdown on the 11 most common types of nails. Sleep is essential for health. When aging or illness makes it necessary to have hospital equipment in the home, you may wonder how you'll afford these items. Daybeds can be described as a hybrid of a bed and chaise lounge or sofa. A bed of nails is typically associated with circus performances. Learn more about this handy fastener only at howstuffworks.

Go to an emergency room or call a health care provider quickly if: Find out how performers are able to lie on a bed of nails without injuring themselves. Sleep is essential for health. Daybeds can be described as a hybrid of a bed and chaise lounge or sofa. Nails come in a variety of sizes to suit a variety of jobs around the house.

Nails come in a variety of sizes to suit a variety of jobs around the house. Melanonychia Striata Longitudinalis (MSL): Pigmented bands
Melanonychia Striata Longitudinalis (MSL): Pigmented bands from acadderm.com
Nails come in a variety of sizes to suit a variety of jobs around the house. The centerpiece of the bedroom, beds range in style from sleek platform options to elaborate canopy ones. Learn more about this handy fastener only at howstuffworks. When aging or illness makes it necessary to have hospital equipment in the home, you may wonder how you'll afford these items. Nail infection is often due to fungal infection and develops along the edge of the fingernail or toenail is called a paronychia. Read about common causes, symptoms, home remedies, and treatment, and see pictures. Webmd walks you through first aid treatment for an injury to the fingernail or toenail. There are three most common types of injuries that can occur to your fingernail bed, and yes, they usually involve a hammer, door, or saw.

Even so, across age groups, many americans struggle to get their recommended amount of.

Nails come in a variety of sizes to suit a variety of jobs around the house. Please confirm that you are a health care professional the link you have selected will ta. We may earn commission from links on this page, but we only recommend products. Get the lowdown on the 11 most common types of nails. Find out how performers are able to lie on a bed of nails without injuring themselves. Webmd walks you through first aid treatment for an injury to the fingernail or toenail. Find out how to identify the injury, how nail bed injuries are treated, and the outlook for your heal. Sleep is essential for health. Daybeds can be described as a hybrid of a bed and chaise lounge or sofa. A bed of nails is typically associated with circus performances. They can be made of w. Step by step instructions on how to make a bed, including tips to make the bed as quick and easy as possible with neat hospital corners and decorative finishes. Here are some options when you need to buy a hospital bed for the home, and you might not even have to make this.

29+ Awesome Nail Bed Injury - Subungual hematoma - WikEM - A bed of nails is typically associated with circus performances.. Even so, across age groups, many americans struggle to get their recommended amount of. Read about common causes, symptoms, home remedies, and treatment, and see pictures. Daybeds can be described as a hybrid of a bed and chaise lounge or sofa. Go to an emergency room or call a health care provider quickly if: They can be made of w.

0 Response to "29+ Awesome Nail Bed Injury - Subungual hematoma - WikEM - A bed of nails is typically associated with circus performances."

Post a Comment